Skip to main content
Cosmetic Dentistry
Enhance Your Smile

We offer cosmetic dentistry in St Mary's, such as tooth-coloured restorations, same-day restorations, teeth whitening, porcelain veneers and more.

Cosmetic Dentistry | Dentist

Cosmetic Dentistry

At Dentist on Queen, we can offer you a variety of personalised cosmetic dentistry to enhance your smile. These include:

  • Teeth Whitening
  • Porcelain veneers
  • Crowns
  • Damon Braces
  • Clear aligners
  • CEREC one visit ceramic fillings
  • Implant dentistry

Teeth Whitening

At Dentist on Queen, we can offer you chair side Teeth Whitening or home Teeth Whitening. With Pola teeth whitening system, you can have your beautiful white teeth at a very affordable price.  

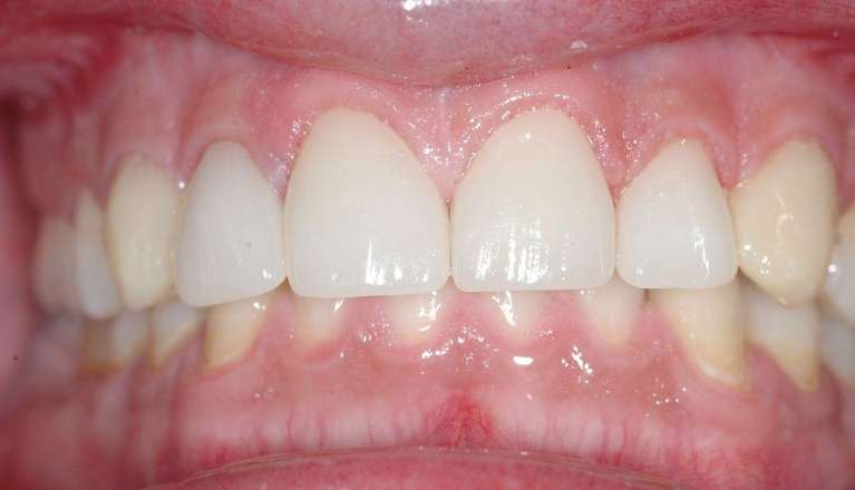
Cosmetic Dental Crowns

If you have a tooth that’s chipped, discoloured, misshapen or weakened from decay or large fillings, a cosmetic dental crown can restore both its strength and appearance. Designed to fully cover the visible portion of the tooth, crowns offer a natural-looking solution that blends seamlessly with your smile.

At our clinic, we offer CEREC same-day crowns, using advanced CAD/CAM technology to design, craft and place your custom crown in just one visit. That means no temporary crowns, no messy impressions and no waiting weeks for a lab.

Made from durable, tooth-coloured ceramic, CEREC crowns not only look great but are precision-milled for an exceptional fit. They’re ideal for restoring front or back teeth—and perfect for busy patients who want high-quality results without multiple appointments.

Whether you’re looking to protect a damaged tooth or enhance your smile cosmetically, a dental crown offers a long-lasting and aesthetic solution—all while supporting your overall oral health.

 

 

  • Dr Daniel Lu BDS (Usyd)

    Dr Daniel Lu graduated from University of Sydney in 1991, he has been providing quality dental care for over 30 years.

    Dr. Lu is passionate about helping patients maintain healthy smiles through a strong focus on ...

  • Dr Eric Chua BBiomedsc (Monash), BDS (USyd)

    Dr Eric Chua earned his Bachelor of Biomedical Science from Monash University Malaysia. He then moved to Australia and attended University of Sydney and obtaining his postgraduate dental degree in 2015. Dr Chua is a ...

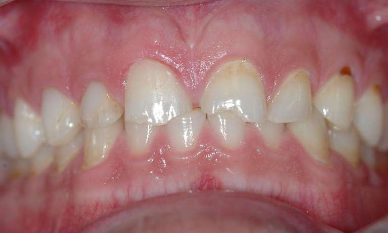
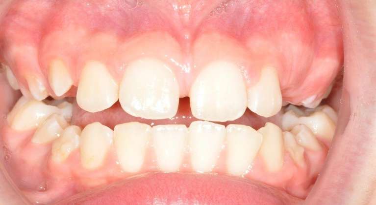
Porcelain Veneers

  • Are you self-conscious about your teeth?
  • Are your teeth chipped or stained?
  • Do you have a gap between your teeth?

We can give you your self-confidence back with porcelain veneers. Porcelain veneers are thin porcelain shells that are permanently bonded to the front surface of your teeth. Porcelain veneers are nearly as durable and easy to care for as your natural teeth and they are pleasantly natural. Fitting and applying veneers requires only two easy dental visits.

Porcelain veneers can be used to fix chipped teeth. This is done by covering the front of the tooth with a thicker piece of porcelain veneer thus replacing the chipped area of the tooth.

Porcelain veneers can also be used to seal small gaps in teeth which cannot be fixed by orthodontic braces. Also if a tooth is not in line with the rest of the teeth a porcelain veneer may be fitted to make it look like the natural tooth is in its correct position.

The Advantages of Porcelain Veneers

Porcelain veneers look as natural as you teeth. Porcelain veneers unlike other dental materials are translucent. Therefore when porcelain veneers are bonded on to your teeth they are able to mirror the light handling ability of normal healthy teeth, allowing the porcelain veneer covered tooth to appear natural.

Porcelain veneers are largely stain resistant.

How Are Teeth Prepared for Porcelain Veneers?

Porcelain veneers are thin and generally held in position by a special bond. A normal procedure will involve some of the shiny enamel surface of the tooth being removed using a local anaesthetic and an impression of the teeth taken and given to a dental technician. The key it to match the porcelain veneer with the rest of the teeth to ensure the porcelain veneer covered tooth appears natural in comparison to the other teeth.

Same-Day Porcelain Veneers

The good news is that at Dentist on Queen, we could often finish your veneers on the same day using our CEREC Computer Designing and in-house ceramic Milling technology . You do not have leave the dental practice with temporary veneers anymore!