Dentist on Queen
Our office will be closed from Wednesday, 24 December, and will reopen on Wednesday, 7 January 2026. We wish you a wonderful holiday season!

Orthodontics

Orthodontics

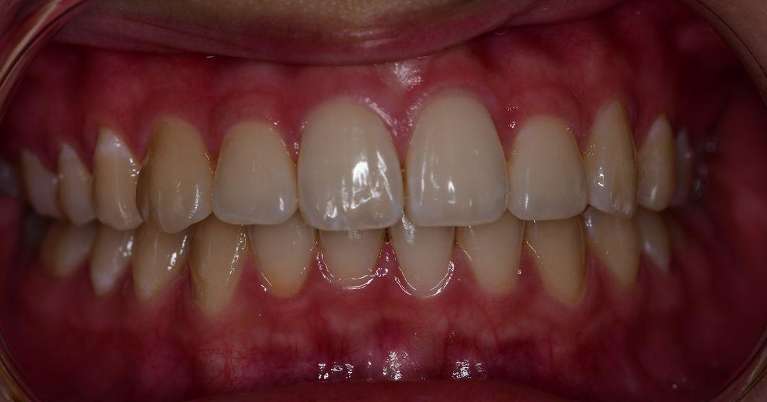
Are you afraid to smile because of your crooked, gappy or misshapen teeth?

Don’t worry. We know just the right orthodontic braces that can help you obtain a beautiful smile. If you feel self-conscious about your crooked and misaligned teeth, our highly experienced team of dental professionals are here to help. Using cutting edge and innovative teeth straightening systems, Dentist On Queen makes 'getting braces' an easy, straightforward and efficient process. We offer modern orthodontic braces that promise a speedier and more discreet process – not to mention successful aesthetic results. You no longer have to live with wonky or unevenly spaced teeth.

Our cutting-edge systems include ClearCorrect and Damon System, both of which are designed to move your teeth to the desired positions using gentle but effective force. At Dentist On Queen, we are able to treat a wide variety of teeth alignment issues. We stay up to date with current techniques and technology, including the latest minimally invasive procedures, to make sure all our patients receive professional dental care with your optimum comfort and beautiful results in mind. Whether you are getting braces to enhance the beauty of your smile or straighten your teeth for hygiene reasons, please call Dentist On Queen (located on 97 Queen St, St Marys NSW 2760) at 02 9623 1261 today!

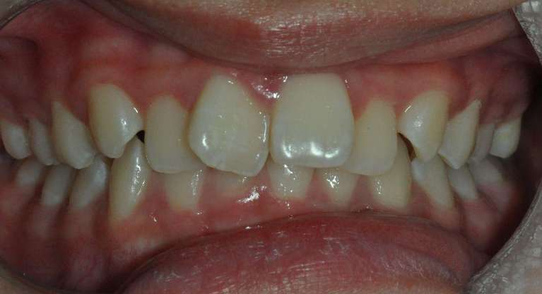
Why Do I Need Braces?

The importance of having straight and properly aligned teeth cannot be overemphasised. When your teeth are in their correct positions, they not only look and function better, they are also less prone to future dental problems. When your teeth overlap or crowd together, for example, they create tiny spaces that can trap food particles. This makes your teeth a breeding ground for bacteria and prone to a host of related dental problems. Misaligned teeth can also interfere with your bite functions, impair speech and wear out your neighbouring teeth.

What We Offer:

  • Clear aligners (ClearCorrect® and Invisalign®)
  • Damon® System
  • Fastbraces®
  • Space maintainers
  • Early interceptive orthodontics
  • Dr Daniel Lu BDS (Usyd)

    Dr Daniel Lu graduated from University of Sydney in 1991, he has been providing quality dental care for over 30 years.

    Dr. Lu is passionate about helping patients maintain healthy smiles through a strong focus on ...

  • Dr Eric Chua BBiomedsc (Monash), BDS (USyd)

    Dr Eric Chua earned his Bachelor of Biomedical Science from Monash University Malaysia. He then moved to Australia and attended University of Sydney and obtaining his postgraduate dental degree in 2015. Dr Chua is a ...

Straighten Your Smile with Dentist on Queen

Crooked, crowded, or gapped teeth? We can help you smile with confidence using modern orthodontic options tailored to your needs.

At Dentist on Queen, we offer discreet and effective solutions like Clear Aligners and the Damon Braces System—designed to straighten your teeth gently and comfortably.

Why Straighten Your Teeth?

  • Improve your smile and confidence
  • Easier to clean and maintain
  • Prevent future dental problems
  • Improve bite, speech, and chewing

Clear Aligners (Invisible Braces):

  • Clear, removable aligners
  • Comfortable and discreet
  • No metal wires or brackets
  • Fewer dental visits
  • Suitable for teens and adults

No more hiding your smile—modern orthodontics makes the process easy and nearly invisible!

Clear Aligners – The Invisible Way to Straighten Your Teeth

Want straight teeth without metal braces?

Clear Aligners are the comfortable, removable, and nearly invisible way to improve your smile.

How They Work:

Your dentist will take impressions and create a series of clear, custom aligners.

You wear each set for about two weeks—each one gently shifts your teeth closer to perfect alignment.

Benefits:

  • No metal wires or brackets
  • Removable for eating, brushing, and flossing
  • Comfortable and discreet
  • Fewer dental visits

Clear Aligners can fix crowding, gaps, bite issues, and more—while helping your teeth look and function better.

Damon Braces System at Dentist on Queen

We use the high-quality American-made Damon Braces System, which uses gentle force to move teeth comfortably and efficiently.

Dr. Lu offers a range of brace styles to suit your needs and lifestyle:

  • Stainless steel brackets – classic and durable
  • Porcelain (tooth-coloured) brackets – more discreet
  • Lingual braces – placed on the inside of teeth, completely hidden when you smile
  • Invisalign – clear aligners for a nearly invisible option

Whatever your smile goals, we have a solution to match!

Early Interceptive Orthodontics

Early interceptive orthodontics is dental treatment for children—usually between ages 6–10—that helps guide proper jaw and tooth development before all adult teeth come in.

Why Start Early?

Treating issues early can:

  • Prevent more serious problems later
  • Guide jaw growth and improve facial balance
  • Make room for adult teeth
  • Correct harmful habits (like thumb sucking or tongue thrusting)
  • Reduce or avoid the need for braces later on

What Does It Involve?

Treatment may include:

  • Removable plates or expanders
  • Partial braces
  • Habit-breaking appliances
  • Monitoring and guidance of growth

Every child is different, so we tailor the treatment to your child’s needs.

Space Maintainers – Protecting Your Child’s Smile

When a baby tooth is lost too early, other teeth can shift into the empty space. This can cause crowding and alignment problems when adult teeth come in.

A space maintainer is a small, custom-made device that holds the space open for the permanent tooth to grow in properly.

Why Use a Space Maintainer?

  • Prevents future orthodontic problems
  • Guides adult teeth into the correct position
  • Saves time and money on future dental treatment

Space maintainers can be fixed or removable, depending on your child’s needs.

If your child loses a tooth early, talk to us about the best option to keep their smile healthy and on track.

Any surgical or invasive procedure carries risks, and we recommend seeking a second opinion from an appropriately qualified health practitioner before proceeding.
Any surgical or invasive procedure carries risks. Before proceeding, you should seek a second opinion from an appropriately qualified health practitioner.